Общество Как начать изучать английский язык с нуля: полезные идеи и советы для быстрого освоения 25.01.2026
Общество Лучшие современные писатели и их жизнь: увлекательный взгляд на творческий путь и успехи 23.01.2026
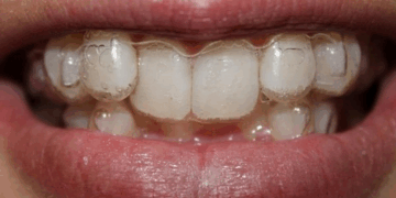
Общество Преимущества и правила проведения лечения зубов под микроскопом для высокой точности 22.01.2026
Общество Что такое элитные частные школы и чем они отличаются от обычных учебных заведений 22.01.2026
Общество Полное руководство по созданию и установке рекламных щитов для эффективной рекламы 17.01.2026